Parent company of OneMRI
One Imaging
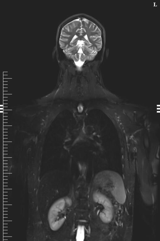
OneMRI provides patients with access to whole-body MRI services in convenient locations around Australia. Previously only available to a select few, OneMRI's mission is to make whole-body MRI more accessible to the general public for the early detection of cancer and chronic disease.

Contact us